통합검색
책 검색
토픽 검색
내정보수정
구독현황
공지사항
로그아웃
로그인
TREND
CLINIC
New
BOOK
TOPIC
게시판
QBOOK
바른의학연구소
대한임상진료학회 강사 모집
대한임상진료학회에서 진행하는 실전진료아카데미 강사로 참여하실 분을 모십니다.
1. 강의 주제
내과 감잡
통증
피부미용
기능의학
2. 강의 성격
이론이 아닌 실전적인 내용으로 임상에 바로 적용할 수 있는 내용 위주
자세히 보기
오늘 하루 보지 않기
닫기
오늘 하루 그만 보시겠습니까?
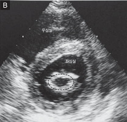
승모판 협착증(Mitral stenosis, MS)
구독
편집
개정이력
관련 콘텐츠
최신 콘텐츠
인기 콘텐츠
«
»
Color
Memo
메모
+
×
메모 목록
×
메모 보기
×
메모 작성
×
메모 수정
메모:
개
×
미표시
콘텐츠 내용이 개정되어, 등록한 형광펜 중 일부가 표시되지 않고 있습니다.
아래에 있는 미표시 형광펜을 참고해서 새로 형광펜을 작성 후 미표시 형광펜은 삭제해주세요.
콘텐츠 내용이 개정되어, 등록한 형광펜 중 일부가 표시되지 않고 있습니다.
개정이력에서 개정 전 콘텐츠를 확인하세요.(이전에 등록한 전체 형광펜을 확인하실 수 있습니다.)
아래에 있는 미표시 형광펜을 참고해서 새로 형광펜을 작성 후 미표시 형광펜은 삭제해주세요.